脑部胶质瘤是一类最常见的颅内恶性肿瘤,其因恶性程度高、发展速度快、复发周期短、手术放疗难以根除而成为世界性医学难题。由于罕见病患病人群少、市场需求少、研发成本高,很少有制药企业关注其治疗药物的研发。此外,治疗这类癌症最大的困难是药物很难进入脑部。这也使脑胶质瘤患者不得不面对“无药可用”的绝望。
南开大学自主研发了一例抗脑胶质瘤新药--ACT001。该药能选择性杀灭癌症干细胞,并可穿过血脑屏障,在脑部中的浓度达到血液中的1.8倍,可在脑原位胶质母细胞瘤动物模型上抑制87%的肿瘤生长,并延长生存期172%。其口服胶囊制剂已进入澳洲临床I期试验,没有观察到副作用,药代数据支持足够的安全性与疗效。

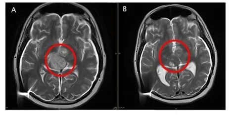
图A:入组前核磁影像,红圈内显示有大量的弥漫性病灶。
图B:ACT001单药治疗后影像,肿瘤细胞密度大幅降低。
该药物具有完全自主知识产权,原料提取、药物制备等工作全面领先国际,有望成为中国创造的“First-in-Class”胶质瘤孤儿药在海内外上市,为这一世界性的医学难题提供新的治疗手段,成为人类对抗脑胶质瘤的“新武器”。
其创新点如下:
1.ACT001是采用“双缓”策略的药物,口服后缓慢吸收,体内缓慢释放药物,推荐剂量下,无毒副作用。
2.ACT001正在进行澳洲临床I期试验,目前已有多位患者服用,没有药物相关的毒副作用,PK数据优于临床前的动物试验。
3.ACT001可从天然产物小白菊内酯制备而来,而小白菊内酯在西方传统草药小白菊中的含量很低(0.1%)。我国特有的中药山玉兰根皮中,小白菊内酯的含量高达9.6%,从而实现ACT001的大量生产。
4.ACT001是以癌症干细胞为靶点筛选和开发的药物,其在临床上的试用,将为探索靶向癌症干细胞的新药提供重要参考价值。
据报道,ACT001于2016年获得澳大利亚临床伦理批准,2016年9月19日迎来第一位自愿服用的澳洲患者,至今已有数名GBM患者参与临床试用。2017年3月,一位澳洲复发GBM患者,加入澳洲临床试验,入组时颅内瘤体大小接近4厘米,经过ACT001单药长期治疗,2018年10月达到完全缓解。截至目前,该患者已用药超过50个月,依然是完全缓解状态。
喜迎二十大,奋进新征程。2022年9月1日,由中国高等教育学会组织开展的“高等教育这十年 --新时代、新科技、新内涵”云端系列活动在云上高博会服务平台正式上线。
活动设立了“守正创新·教育现代化成果展”“开拓创新·高校科技创新成果展”“实践创新·大学生创新创业成果展”三大展区以及一系列行业云端研讨会,对企业、高校、大学生优秀创新创业成果进行集中展示,探索产业发展新模式、新合作、新思路阅读原文:https://heec.cahe.edu.cn/zt/ten-hd/)

特别声明:本站注明稿件来源为其他媒体的文/图等稿件均为转载稿,本站转载出于非商业性的教育和科研之目的,并不意味着赞同其观点或证实其内容的真实性。如转载稿涉及版权等问题,请作者在两周内速来电或来函联系。
